Tochimoto:Zingiberis Rhizoma
| Line 204: | Line 204: | ||
| 維管束 | | 維管束 | ||
|- | |- | ||
| − | |[[Image:Tochimoto-Ginger-生姜・雲南・維管束J.jpg| | + | |[[Image:Tochimoto-Ginger-生姜・雲南・維管束J.jpg|150px]] |
| − | |[[Image:Tochimoto-Ginger-生姜・貴州・維管束J.jpg| | + | |[[Image:Tochimoto-Ginger-生姜・貴州・維管束J.jpg|150px]] |
| − | |[[Image:Tochimoto-Ginger-生姜・日本・維管束J.jpg| | + | |[[Image:Tochimoto-Ginger-生姜・日本・維管束J.jpg|150px]] |
| − | |[[Image:Tochimoto-Ginger-生姜・インド・維管束J.jpg| | + | |[[Image:Tochimoto-Ginger-生姜・インド・維管束J.jpg|150px]] |
|} | |} | ||
</center> | </center> | ||
Revision as of 17:44, 22 November 2010
Contents |
生姜、乾姜
『日本薬局方 第15改正(JP15)』
- 生姜 乾生姜:ZINGIBERIS RHIZOMA
- ショウガZingiber officinale Roscoe(Zingiberaceae) の根茎
- 乾姜:ZINGIBERIS PROCESSUM RHIZOMA
- ショウガZingiber officinale Roscoe(Zingiberaceae) の根茎を湯通しまたは蒸したもの
以上2種が規定されている。
- 日本薬局方では、ショウガの新鮮な根茎は収載されていない。
『中華人民共和国薬典2005年版』
- 生姜:RHIZOMA ZINGIBERIS RECENS
- 姜Zingiber officinale Rosc.の新鮮な根茎
- 干姜:RHIZOMA ZINGIBERIS
- 姜Zingiber officinale Rosc.の干燥した根茎
- 炮姜:RHIZOMA ZINGIBERIS PRAEPARATUM
- 干姜の炮制加工品
以上3種が規定されている。
『大韓薬典 第9改正』
- 건강 乾薑:ZINGIBERIS RHIZOMA
- 생강Zingiber officinale Roscoeの根茎を乾燥したものと規定されている。
『大韓薬典外生薬規格集2007年』
- 생강 生薑:ZINGIBERIS RHIZOMA CRUDUS
- 생강Zingiber officinale Roscoeの新鮮な根茎と規定されている。
市場流通品と現状
乾燥したショウガは主に食品用として、中国、タイ、台湾、インドなどから、年間約30,000トン輸入されている。日本市場で薬用に用いられるのは中国産生姜で、皮を去って乾燥した「生姜塊」と、湯通しもしくは蒸した後に乾燥した「赤肉乾姜」がある。中国南部の各省で生産され、以前は硫黄燻蒸で漂白した生姜が主に流通していたが、残留二酸化硫黄やオゾン層破壊などが問題となり、現在では無硫黄(硫黄燻蒸を施していない)生姜が輸入され、外観色が少し褐色を帯びている。
生 姜
生姜は中国雲南省、貴州省、広西壮族自治区などの産地があり、特に雲南生姜は肉厚で良品とされているが、生薬を鑑別して産地を特定するのは困難で、産地による優劣よりも生産単位による品質差が大きい。
特殊な生姜として辛味が強いといわれる日本産の金時ショウガを、皮付きで乾燥した「金時生姜」も、少量流通している。皮付きで乾燥したインド産なども、漢方エキス製剤の原料に用いられることがある。
乾 姜
「赤肉乾姜」は中国の一部の地区で生産されていた加工方法で、日本で乾姜として流通させたものである。インド、ビルマ産などの乾姜は、中国の加工業者が安価な新鮮ショウガを現地で加工させたもので、中国産として日本に輸入される。 現在の中国産「赤肉乾姜」は、繊維質が多く内部の色調も光沢のない赤褐色が多いため、良品とはいえない。
インドなど中国周辺地域の加工品は、中国産と比べて小ぶりで肉厚、繊維質も少なく内部の色調は赤褐色の光沢のある濃い飴色で、経験的鑑別において好まれる。日本市場では中国産として流通している。
乾姜内面色調
| 乾姜内面色調:(上段左から)中国雲南省、中国貴州省、中国広西壮族自治区、インド、ビルマ |
生産加工状況
薬用のショウガは、3月に種芋を植え付け、11月中旬から12月中旬に掘り上げて乾燥する。
栽培地:中国広西省金秀瑶族自治県
皮去り・乾燥工程:中国雲南省羅平県
小規模農家の正確な軒数は不明であるが、おそらく生姜を栽培している農民だけでも4万人以上と推測される。平均農地は100~150坪/軒。生産量は新鮮なショウガで約80,000トン/年。
1997年当時の加工風景
1997年当時の加工風景だが、大きな違いは皮去り作業を全て手作業で行っていたことにより、完全に皮去りができていたことである。 現在流通している生姜は機械で皮去りを行うため、一部に皮が残っているが、当時の生姜には残皮は見あたらなかった。 加工に機械が導入されたのは、農業地域の労働者の減少や、賃金の高騰の影響と考えられる。
理化学的品質評価
| 産地 | 検体数 | 灰分 8.0%以下 |
酸不溶性灰分 | 乾燥減量 | 希エタノール エキス含量 |
|---|---|---|---|---|---|
| 中国ALL | 153 | 3.9 ±0.8 | 0.2 ±0.2 | 12.2 ±2.6 | 14.8 ±2.9 |
| 日本ALL | 50 | 5.6 ±1.0 | 0.6 ±0.2 | 13.8 ±2.1 | 15.3 ±3.8 |
| 中国・雲南 | 87 | 3.7 ±0.5 | 0.2 ±0.1 | 11.8 ±2.8 | 14.3 ±2.1 |
| 中国・貴州 | 26 | 3.8 ±0.5 | 0.2 ±0.1 | 13.2 ±2.2 | 15.2 ±2.1 |
| 中国・広西 | 9 | 4.7 ±0.8 | 0.3 ±0.1 | 12.5 ±1.5 | 15.2 ±1.7 |
| 日本・静岡 | 8 | 5.1 ±0.9 | 0.5 ±0.2 | 14.0 ±1.6 | 18.9 ±2.6 |
| 日本・愛知 | 6 | 6.1 ±0.9 | 0.6 ±0.1 | 12.5 ±1.3 | 19.4 ±1.2 |
- 灰分
- 日本ALL > 中国ALL ( p < 0.05 )
- 希エタノールエキス含量
- 日本ALLと中国ALL に有意差無し
- 生姜 : 産地別理化学試験 DATA (成分含量:[6]-gingerol) グラフ1
- 日本ALL > 中国ALL ( p < 0.05 )
- 日本 : 愛知と静岡に有意差無し
- 中国 : 広西 > 貴州,雲南 ( p < 0.05 )
| 産地 | 検体数 | 灰分 6.5%以下 |
酸不溶性灰分 1.5%以下 |
乾燥減量 15%以下 |
希エタノール エキス含量8.0%以上 |
|---|---|---|---|---|---|
| 中国ALL | 51 | 5.1 ±0.9 | 0.7 ±0.3 | 12.9 ±1.1 | 14.1 ±1.8 |
| 中国・広東 | 23 | 5.0 ±1.1 | 0.6 ±0.3 | 13.1 ±1.1 | 15.2 ±3.1 |
| 中国・広西 | 9 | 5.2 ±0.5 | 0.8 ±0.2 | 13.6 ±0.8 | 13.7 ±1.1 |
| 日本・愛知 | 6 | 6.3 ±0.9 | 1.4 ±0.4 | 13.7 ±3.4 | 17.6 ±1.0 |
- 灰分
- 日本 愛知 > 中国ALL ( p < 0.05 )
- 希エタノールエキス含量
- 日本 愛知 > 中国ALL ( p < 0.05 )
- 乾姜 : 産地別理化学試験 DATA (成分含量:[6]-gingerol & [6]-shogaol) グラフ2
- [6]-gingerol
- 日本 愛知 > 中国ALL ( p < 0.05 )
- 中国 広東と広西に有意差無し
- [6]-shogaol
- 中国ALL > 日本 愛知 ( p < 0.1 )
- 中国 広東 > 中国 広西 ( p < 0.1 )
生姜と乾姜の比較
- 灰分
- 乾姜 > 生姜 ( p < 0.05 )
- 希エタノールエキス含量
- 有意差無し
- [6]-gingerol
- 生姜 > 乾姜 ( p < 0.05 )
内部形態:鏡検
生姜(ショウキョウ、乾生姜)
JP15:内部形態についての記載はない。
- 生薬の性状
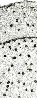
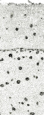
本品は偏圧した不規則な塊状でしばしば分枝する。分枝した各部はやや湾曲した卵形又は長卵形を呈し、長さ2~4cm、径1~2cmである。外面は灰白色~淡灰褐色で、しばしば白粉を付けている。折面はやや繊維性、粉性で、淡黄褐色を呈する。横切面をルーぺ視するとき、皮層と中心柱は明瞭に区別され、その全面に維管束及び分泌物が暗褐色の細点として散在する。 本品は特異なにおいがあり、味は極めて辛い。
- 産地による比較
| 生姜 <中国雲南省> | 生姜 <中国貴州省> | 生姜 <日本> | 生姜 <インド> |
| |||
| 維管束 | 維管束 | 維管束 | 維管束 |
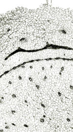
乾姜(カンキョウ)
- 生薬の性状
本品は偏圧した不規則な塊状でしばしば分枝する。分枝した各部はやや湾曲した卵形又は長卵形を呈し、長さ2~4cm、径1~2cmである。外面は灰黄色~灰黄褐色で、しわ及び輪節がある。折面は褐色~暗褐色で透明感があり角質である。横切面をルーペ視するとき皮層と中心柱は区分され、全面に維管束が散在する。 本品は特異なにおいがあり、味は極めて辛い。 本品の横切片を鏡検するとき、外側よりコルク層、皮層、内皮、中心柱が認められる。皮層と中心柱は一層の内皮によって区分される。皮層及び中心柱は柔組織からなり、繊維束で囲まれた維管束が散在する。柔組織中には黄色の油よう物質を含む油細胞が散在し、柔細胞中にはシュウ酸カルシウムの単晶が含まれ、でんぷんはのり化している。
| 乾姜(赤肉干姜) <中国広東省> |
| 維管束 |
